xCAT IQ
CBCT-skanner för neurokirurger och intensivvårdsavdelningar
Mobil CT-skanner för operationssalen
Med xCAT IQ får du CT-skanningar med diagnostisk kvalitet direkt till operationssalen. Du slipper skicka patienten till röntgenavdelningen och spar tid
När du är i behov av CT-bilder i samband med en operation rullar du in skannern till patienten och gör en skanning. Arbetsmomentet tar mindre än en minut och du får bilderna direkt.
Hjulen rullar lätt och skannern tar så lite plats att den kan stå i operationssalen jämt.
Ge en låg stråldos utan att tumma på bildkvaliteten
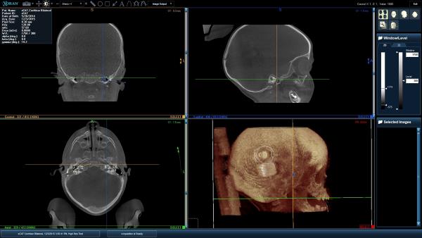
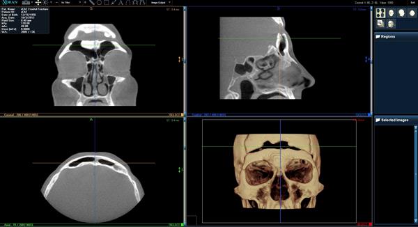
xCAT IQ är en s.k. cone beam-skanner som utsätter patienten för en ultralåg stråldos.
Trots den låga dosen får du detaljerade bilder av hög kvalitet av t.ex. hjärna, bihålor, skallbas, öron och kraniomaxillofaciala skador.
Programvaran är enkel att använda och det stora stativet roterar 360 grader runt patientens huvud. Det ger mer och bättre data.
Tiden är en viktig faktor. Med xCAT IQ kan du:
- få positionen för implantat bekräftad
- slippa vänta på en traditionell CT-skanning
- utföra intraoperativa justeringar direkt
- utvärdera och justera cochlear-implantat direkt i operationssalen
- snabbt få postoperativa bilder och undvika att patienten behöver hamna på operationsbordet igen.

Mobil CT-skanner för intensivvårdsavdelningar
Tänk dig en mobil CT-skanner som du snabbt kan rulla in till intensivvårdspatientens säng. Några minuter senare har du en skanning som visar status för patientens tillstånd. Detta kan du göra med xCAT IQ.
Få svar på några minuter
I händelse av akut neurologisk förändring av patientens tillstånd behöver du veta om det är en intrakraniell blödning, ett hjärnödem eller kanske hydrocephalus. Du kan få svar på några minuter.
Du slipper skicka sköra intensivvårdspatienter till röntgenavdelningen. Rulla istället in CT-skannern i salen och spar viktig tid.
xCAT IQ ger korrekt, klinisk information så att du snabbt kan bedöma prognosen och planera för vidare behandling.
Ultralåg stråldos gör skannern lämplig inom pediatrik
Skannern är särskilt lämplig för pediatriska intensivvårdspatienter, där tids- och dosbesparingar är avgörande faktorer.
Relaterade produkter
xCAT IQ
Artikelnummer
kr 1,00





