MagniView
Full HD-gastroskop med 165x optisk zoom
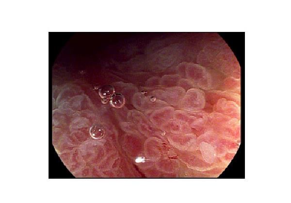
Med Pentax nya, unika MagniView gastro- och koloskop får du en fantastisk bild i full HD + upplösning med en steglös optisk 165x zoomfunktion (146x i kombination med en 26-tums bildskärm och 165x i kombination med en 32-tums bildskärm). I kombination med i-scan sätts en helt ny standard för när det gäller möjligheterna att ställa rätt diagnos.
MagniView är byggt på Pentax 90-serie och är i grunden ett standard endoskop med samma ytterdiameter som de vanliga diagnostiska endoskopen – men med zoom funktionens nya möjligheter. God ergonomi med lättanvänd zoomfunktion som manövreras från det roterande handtaget via tummen.
Läs mer om produkten här:
Översikt (diameter, arbetskanal, längd, synvinkel)
MagniView
Artikelnummer EC‑3890Zi
kr 35,00
Har du Frågor?
Bli uppringd av en produktspecialist
Vi värnar om dina personuppgifter. Läs vår dataskyddspolicy för att se hur vi behandlar dina personuppgifter samt vilka rättigheter du har.











